13 年
手机商铺
公司新闻/正文
1544 人阅读发布时间:2024-06-04 17:24
研究背景
结直肠癌(Colorectal Cancer,CRC) 是消化道中常见的恶性肿瘤之一。随着经济发展和生活水平的提高,人们的饮食习惯及膳食结构发生了转变,因此CRC发病率也呈现出了明显的上升趋势。流行病学调查发现,结直肠癌已经升至全球癌症死亡原因的第二位,仅次于肺癌。这也说明,在全球各地,结直肠癌在预防和治疗上均面临着巨大的挑战。

2020年全球主要癌症死亡类型、人数及占比
目前有关CRC的具体发病机制尚未完全阐明,因此对其病因、发病机制以及药物治疗方面的研究变得日益迫切。研究过程中,为了探索复杂的发病和发展的机制,以人类诊断和治疗为导向的实验通常会用到动物模型做临床前研究。

一、结直肠癌中的动物模型
大多数结直肠癌都是散发性或家族性的,炎症性肠病(Inflammatory bowel disease, IBD)相关的结直肠癌仅占1-2%,但炎症性肠病迁延30年后超过18%的患者会发展为结直肠癌,且致死率也显著高于散发性结直肠癌。因此早期对炎症及其在结直肠癌发生中的作用的研究主要集中在炎症性结肠癌(CAC),一种很可能出现在炎症性肠病患者中的特殊形式的CRC。临床症状学、形态学及病理学观察证明AOM/DSS模型与人类溃疡性结肠炎癌变过程极为相似,能够很好地模拟慢性肠道炎症诱发肿瘤的生理病理过程,因此被广泛用于CAC形成机制的研究中。
氧化偶氮甲烷(Azoxymethane,AOM)/葡聚糖硫酸钠(Dextarn Sodium Suipate,DSS)模型是一种结合DSS诱发的溃疡性结肠炎和致癌物AOM诱导的大鼠CAC模型,氧化偶氮甲烷是一种甲基化剂,它可以在DNA中形成6-O-甲基鸟嘌呤。除非甲基化的碱基被细胞酶修复,否则会导致碱基错配,从而诱导组织中的肿瘤形成。葡聚糖硫酸钠则是一种促炎药物,溶解于大小鼠的饮水中,可引起严重的以腹泻为主要特征的溃疡性结肠肠炎,长期反复接触可发生慢性肠炎。
二、AOM/DSS造模优势
三、AOM/DSS 实验造模流程
AOM/DSS 模型诱导方法主要有两种:
“四步法”为AOM单剂量(7.5-12.5 mg/kg) 腹腔注射后,即时或1周后饲喂含1%-3%DSS饮水4-7 天 ,之后改为正常饮水14天为1个循环,共循环3 次;
“两步法”与前者的区别在于将3次循环的DSS处理缩短为单次循环,共两步完成。
AOM/DSS结直肠癌造模步骤
四、AOM/DSS造模案例分享
参考文献
造模流程
1. 选取8-12周、体重约为22 g的小鼠,做好尾巴标记或耳夹;
2. 第0天,记录初始体重,每只小鼠腹腔注射10mg/kg AOM工作液(浓度为1 mg/mL溶解于无菌生理盐水中,储存于-20°C);
3. 用常规饮用水喂食一周;
4. 用2.5%的葡聚糖硫酸钠DSS溶液替换饮用水喂食一周;
5. 再换成常规饮用水喂食两周;
6. 步骤4和步骤5共重复3次。
AOM/DSS造模流程
实验结果
1. 经AOM/DSS造模后,小鼠体重减轻5-10%,在本实验中,体重减轻是结肠炎严重程度的初步判断标志。

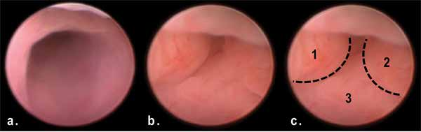
2. AOM/DSS造模50天后,与正常结肠(a)相比,模型组产生了多发性息肉样肿块阻塞末端结肠管腔(b、c)。

3. 处死后取小鼠结肠,可观察形成的肿瘤。值得注意的是,末端结肠/直肠肿瘤负荷较高(左上图),近端结肠肿瘤呈现褶皱状纹理(右上图),肿瘤负荷很少。近距离观察末端结肠可观察到许多不同大小的肿瘤(下图)。

4. 使用阿新蓝染剂染色结肠,有助于观察到结肠内的纹理及肿瘤边界,能够精确测量肿瘤大小。

5. 选取末端结肠中代表性的肿瘤组织,采用H&E、BrdU和β-catenin免疫组化染色分别在50×和400×进行组织学观察,可明显观察到类似于人类结肠腺癌的病变表现。

结论
本研究显示了一种通过DSS和AOM结合的结肠炎相关癌症诱导的有效、详细的方案。AOM/DSS模型方法简单,实验时长短,仅需7-10周,可用于任何遗传背景的小鼠(敲除、转基因等),且不与特定的致瘤菌株杂交。
五、MP肠道疾病模型相关产品信息
除以上研究方向外,仍有关于结肠癌靶向治疗、转移性结肠癌的管理等多方面研究正在进行中。目前,炎症性结肠炎/结肠癌研究中广泛采用的AOM/DSS诱导结肠癌模型,通过临床症状学、形态学及病理学观察证明与人类溃疡性结肠炎癌变过程极为相似。
MP Biomedicals拥有数十年肠道研究经验,能够提供高纯度高质量的DSS和AOM用于诱导溃疡性结肠炎及结肠癌等疾病,其中DSS是目前肠炎造模研究领域金标准。迄今为止,有超过10,000篇科学文献引用,有效性得到了业界广泛认可。同时针对客户对肠道菌群的研究需求,MP也提供多种针对动物组织、粪便及肠道内容物的核酸提取试剂盒,提取的核酸浓度高、纯度好可直接应用于下游实验分析。
下列产品均有国内现货库存,可稳定供应。

六、产品已发表文章(部分精选高分文献)
[1] Sun X, He L, Liu H,et al. The diapause-like colorectal cancer cells induced by SMC4 attenuation are characterized by low proliferation and chemotherapy insensitivity. Cell Metab. 2023 Sep 5;35(9):1563-1579.e8.IF=29.0
[2] Wang L, Tang L, Feng Y,et al. A purified membrane protein from Akkermansia muciniphila or the pasteurised bacterium blunts colitis associated tumourigenesis by modulation of CD8+ T cells in mice. Gut. 2020 Nov;69(11):1988-1997 .IF=24.5
[3] Schewe M, Franken PF, Sacchetti A,et al. Secreted Phospholipases A2 Are Intestinal Stem Cell Niche Factors with Distinct Roles in Homeostasis, Inflammation, and Cancer. Cell Stem Cell. 2016 Jul 7;19(1):38-51. IF=23.9
[4] Lee KW, Yeo SY, Gong JR,et al. PRRX1 is a master transcription factor of stromal fibroblasts for myofibroblastic lineage progression. Nat Commun. 2022 May 19;13(1):2793. IF=16.6
[5] Cui HY, Wei W, Qian MR, et al. PDGFA-associated protein 1 is a novel target of c-Myc and contributes to colorectal cancer initiation and progression. Cancer Commun (Lond). 2022 Aug;42(8):750-767. IF=16.2